Case
症例集
Trouble
よくあるお悩み
横浜歯科口腔外科クリニックで実際に治療を受けられた方の症例写真をご紹介しています。
治療前後でどのように改善されるか一目でおわかりいただけますので、
発音や食事のしにくさ、見た目にお悩みの方、治療を検討されている方はぜひご参考にしてください。

あごが出ている

あごが
引っ込んでいる
顔が歪んでいる

前歯で噛めない、
口ゴボ
エラが張っている

ガミースマイル(歯茎が見える)
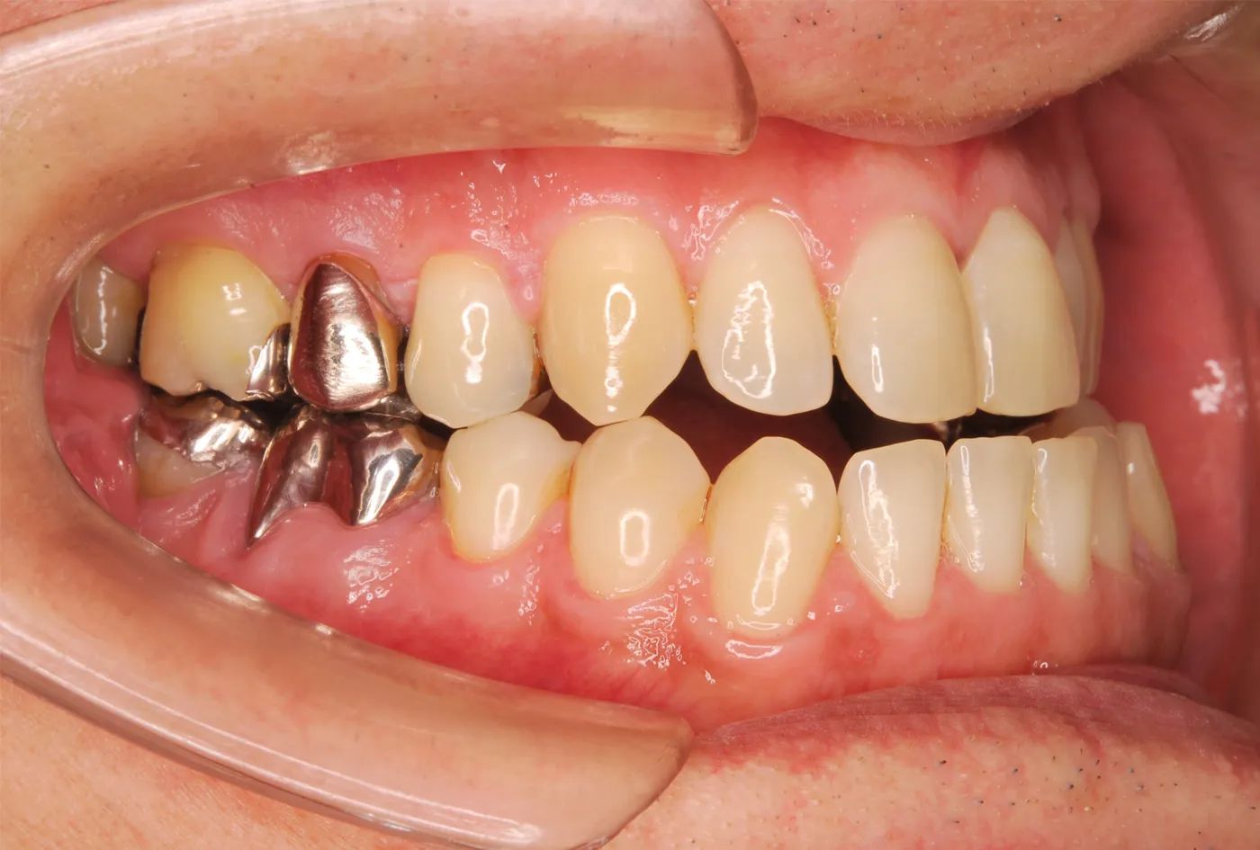
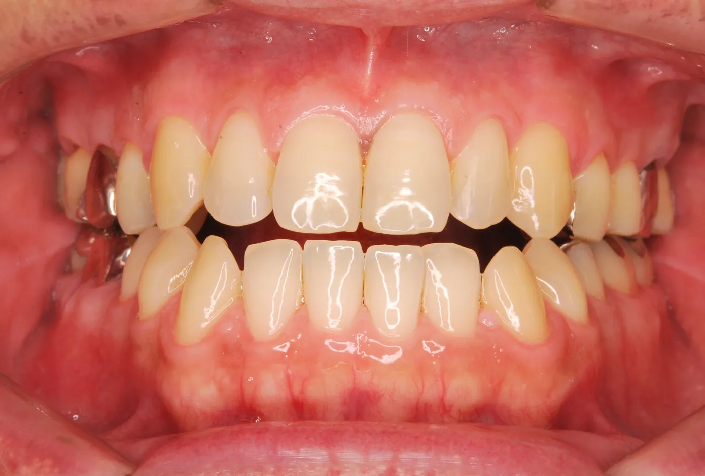
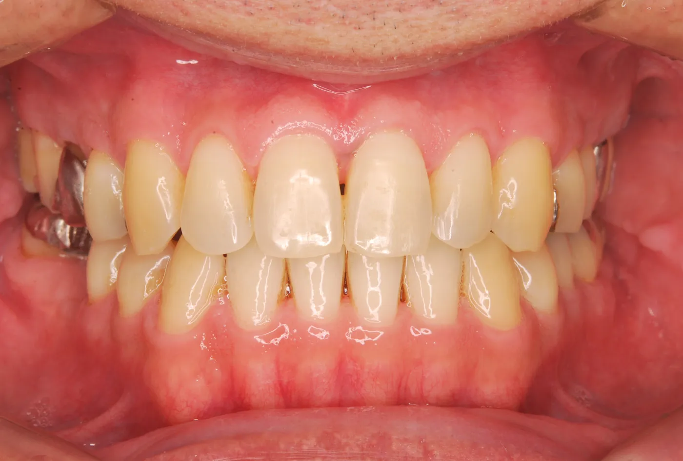
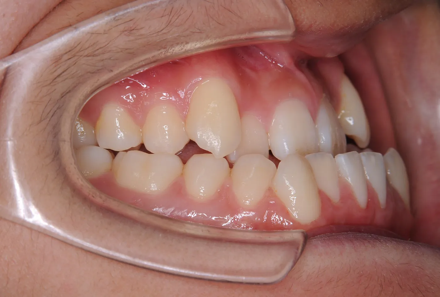
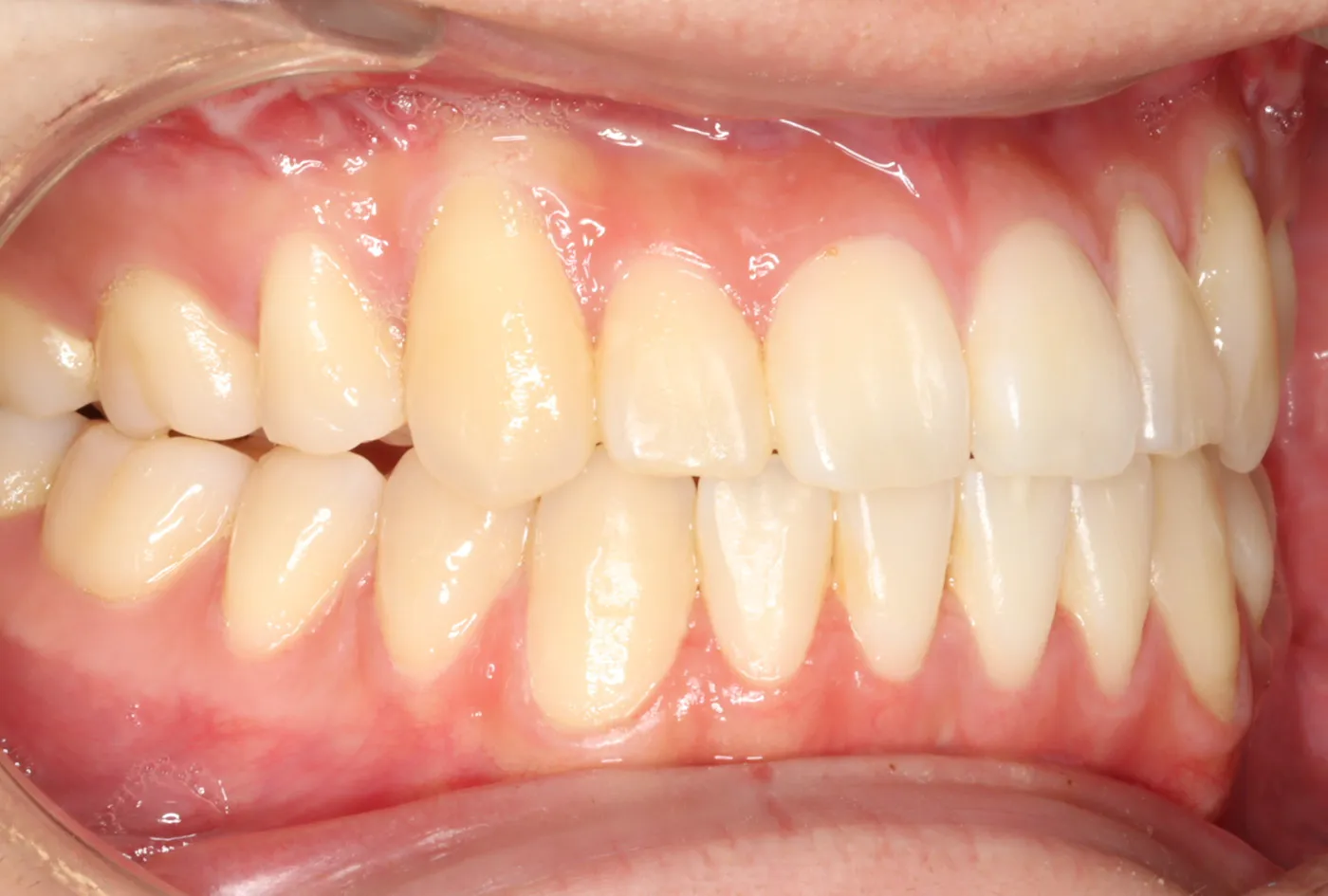
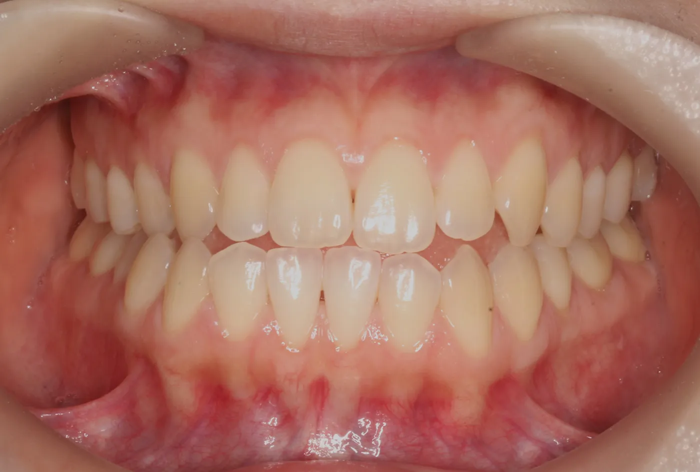
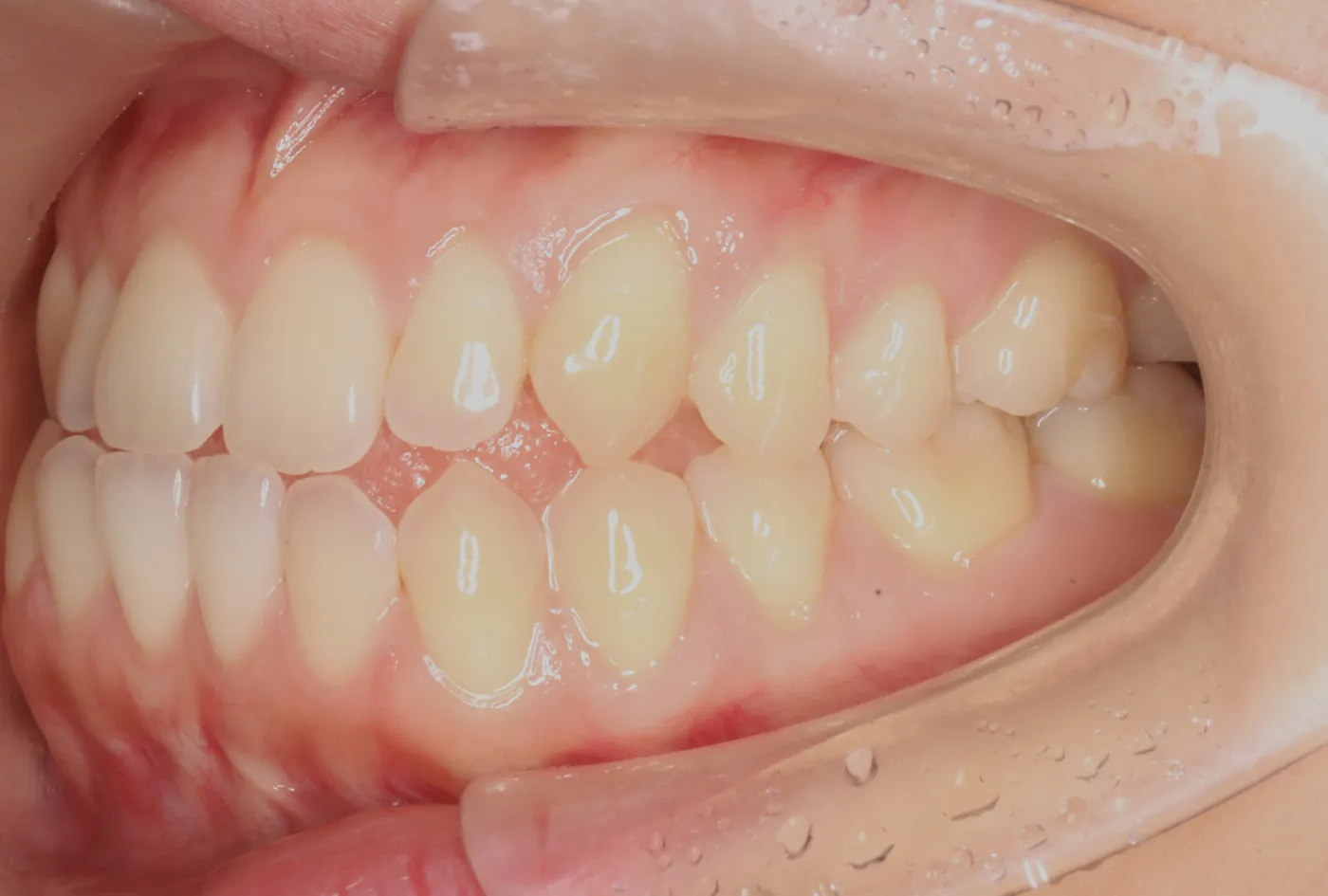
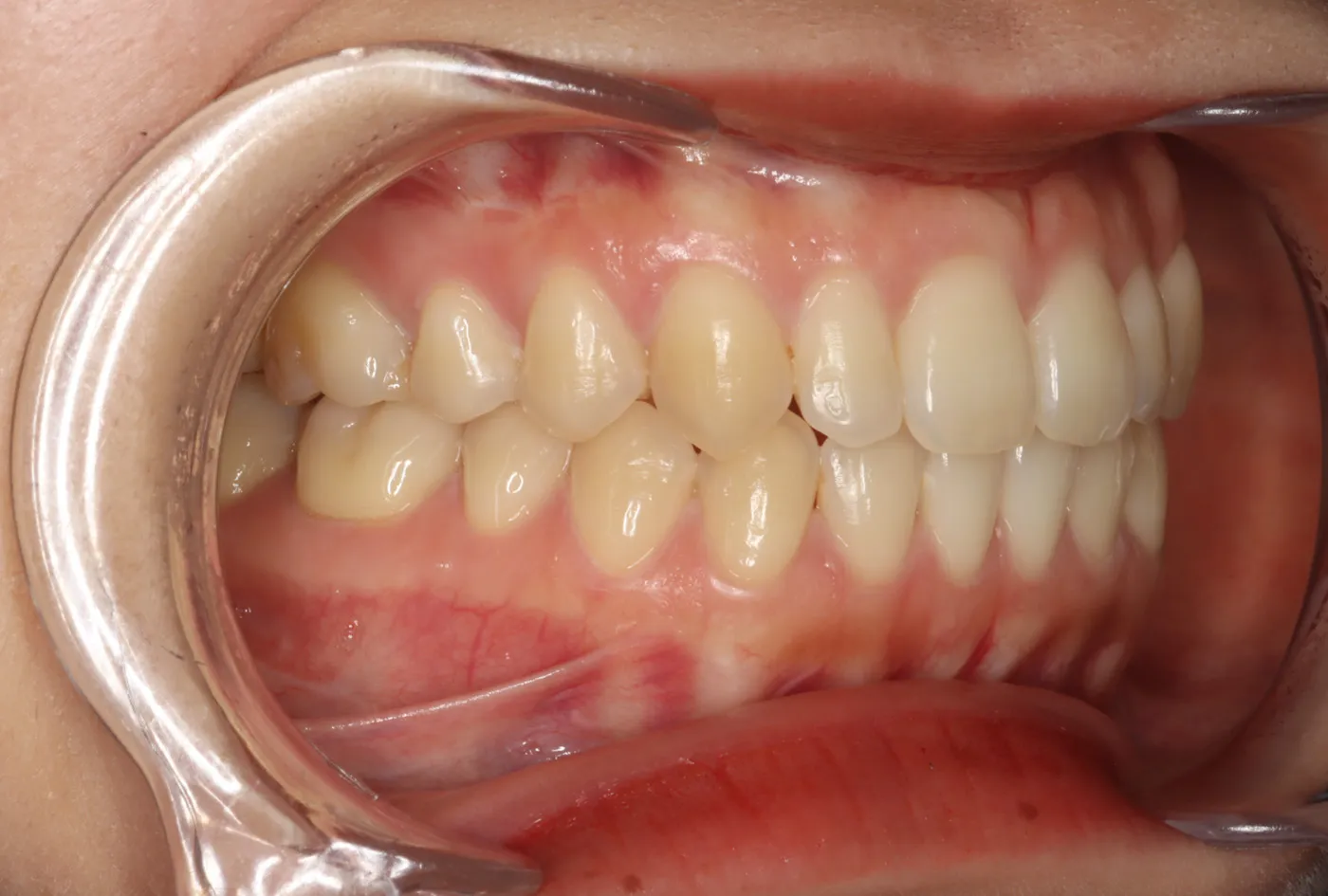
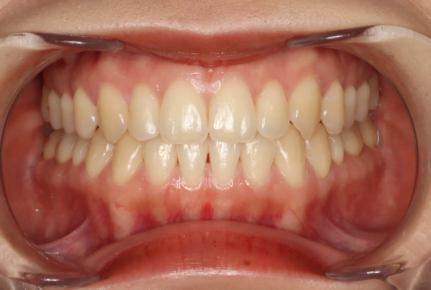
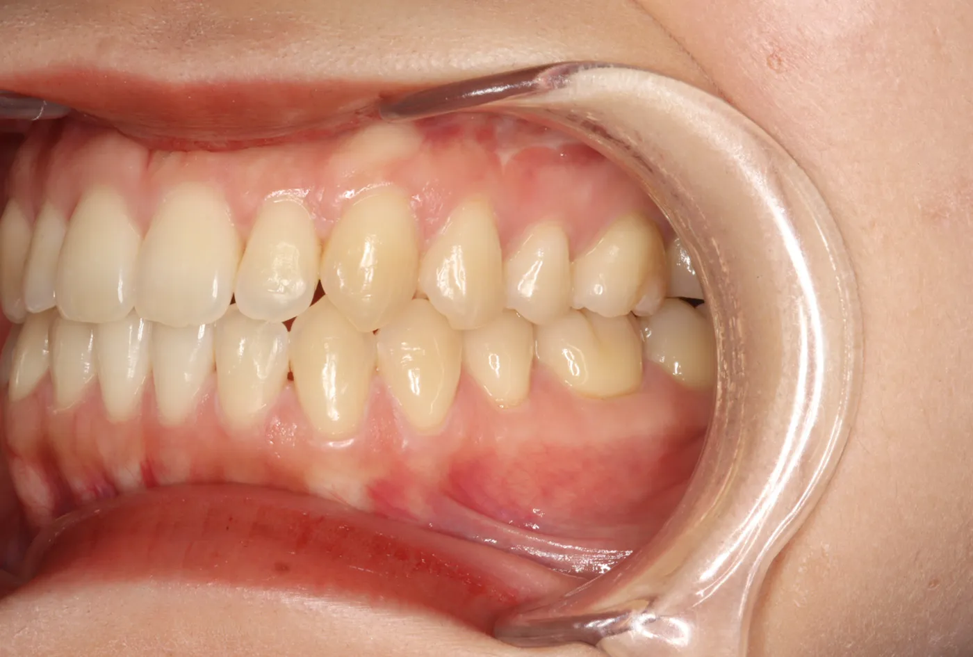
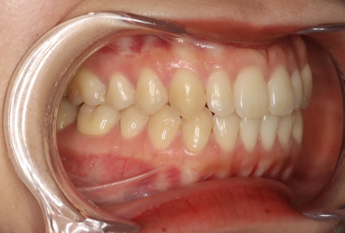
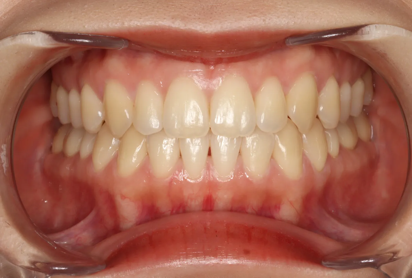
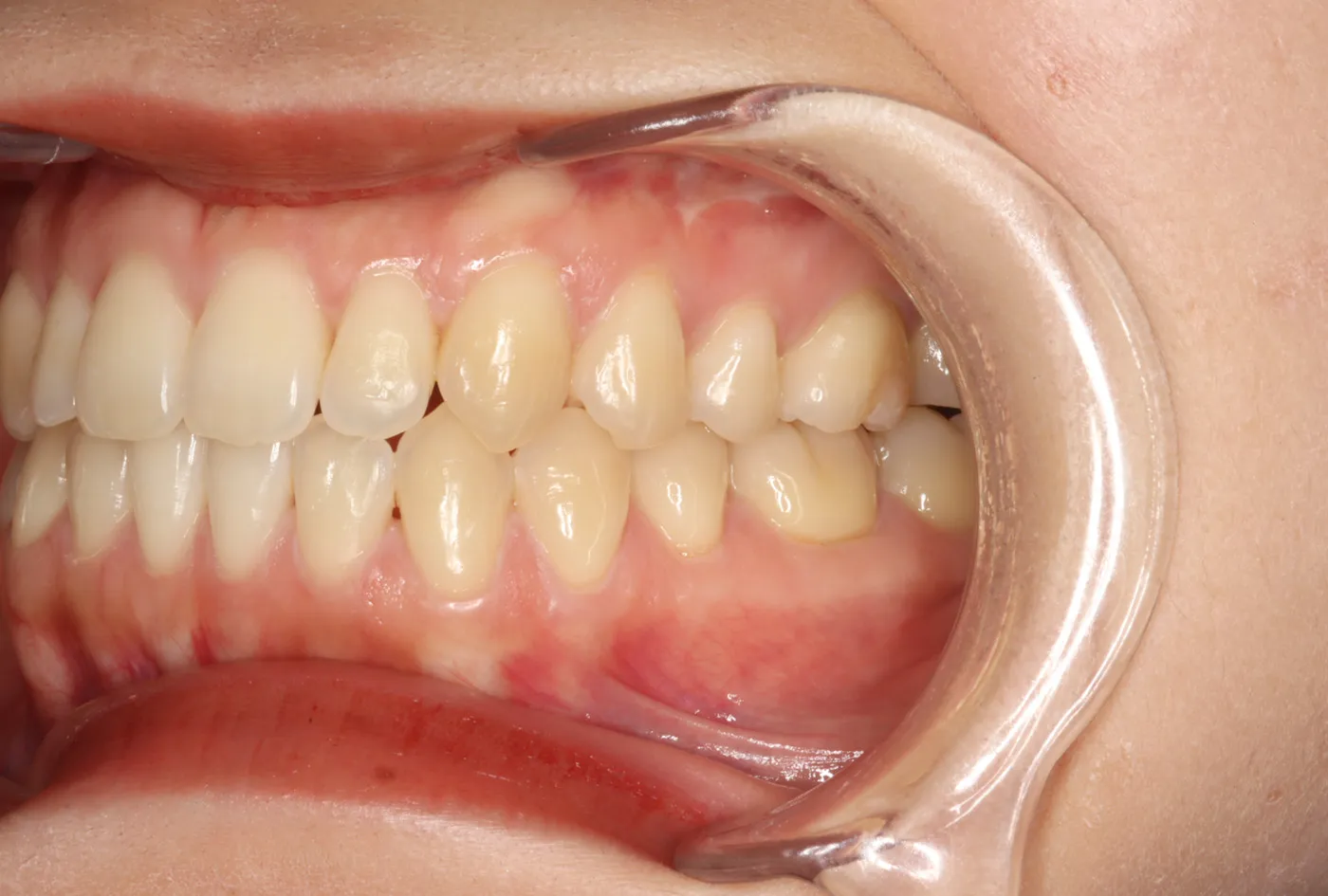
症例01

あごがでている

前歯で噛めない/口ゴボ
治療前
治療後
治療前
治療後
| 患者さまの症状 | 前歯で物がうまく噛み切れず、奥歯だけで咀嚼している状態でした。 横顔では下顎が前に出ており、受け口の外見が気になるとのご相談でした。発音もしにくい音があり、日常生活に不便を感じていました。 |
|---|---|
| 治療内容 | 顎変形症に対する外科的矯正治療を行いました。術前矯正で歯列を整えた後、上下顎の位置関係を改善する手術を施行しました。 |
| 治療方法 |
|
| 治療結果 | 前歯でしっかりと噛み切れるようになり、食事のしやすさが大きく改善しました。 横顔のバランスも整い、受け口の印象が解消されました。患者さまからは「見た目も噛み合わせも良くなって嬉しい」とのお言葉をいただきました。 |
| 治療期間 |
|
| リスク・副作用 |
|
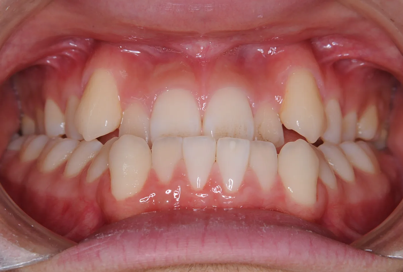
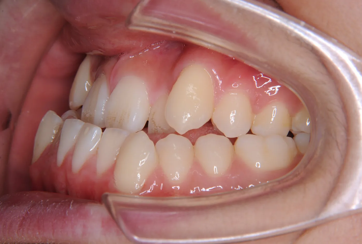
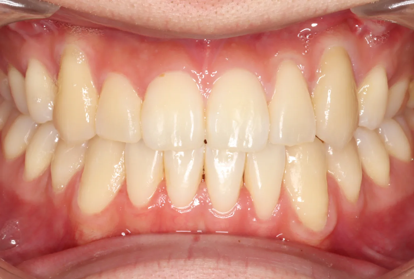
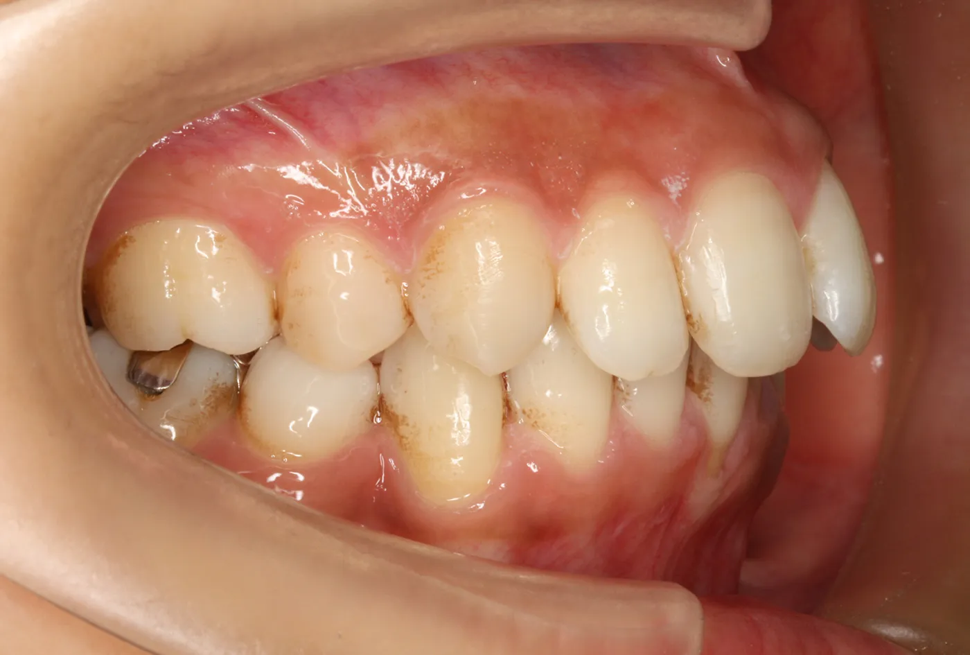
症例02

あごがでている
顔が長い
歯がガタガタしている
治療前
治療後
治療前
治療後
| 患者さまの症状 | 下顎が前に出ており、横顔では「受け口」のように見えていました。前歯が反対に噛み合うため、発音がしづらく、食事の際にも噛みにくさを感じていました。また、歯並びにガタつきがあり、見た目にも不均整さがありました。 |
|---|---|
| 治療内容 | 下顎の前方突出を改善し、正しい噛み合わせと整った歯並びを獲得するために、上顎第一小臼歯の抜歯を伴う術前矯正を行い、その後に上下顎移動術(Le Fort I型骨切り術+下顎枝矢状分割術:SSRO) を施行しました。手術後は、歯列と咬合の最終調整を行い、より安定した噛み合わせを確立しました。 |
| 治療結果 | 上下の歯が正しく噛み合うようになり、受け口が改善しました。歯並びのガタつきも解消され、見た目にも整った歯列になりました。横顔のラインも自然でバランスが良くなり、患者さまからは「噛みやすくなって見た目にも自信が持てるようになった」との感想をいただきました。 |
| 治療期間 |
|
| リスク・副作用 |
|
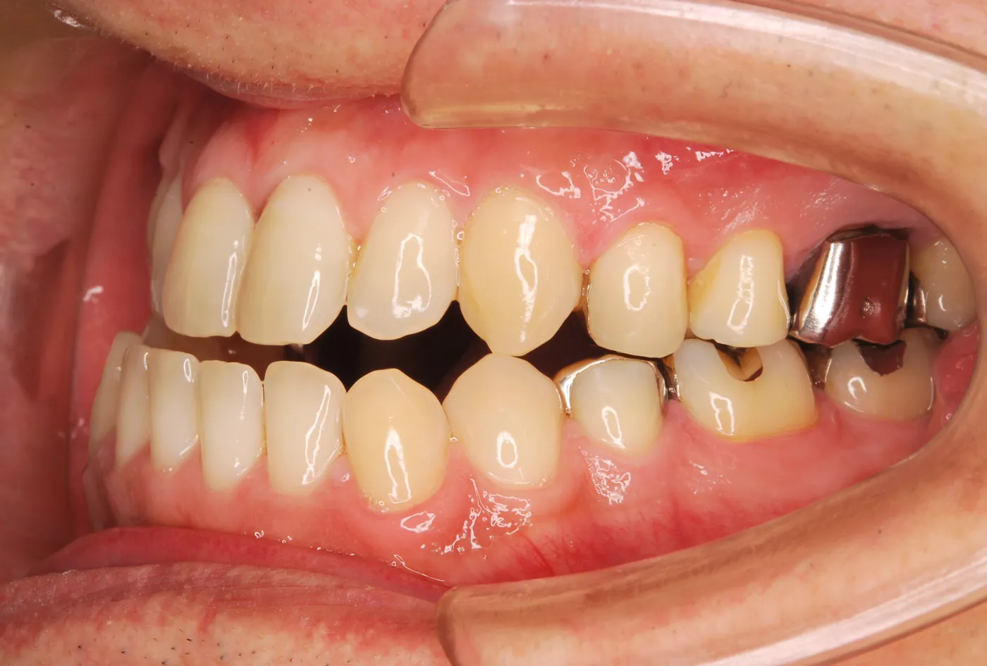
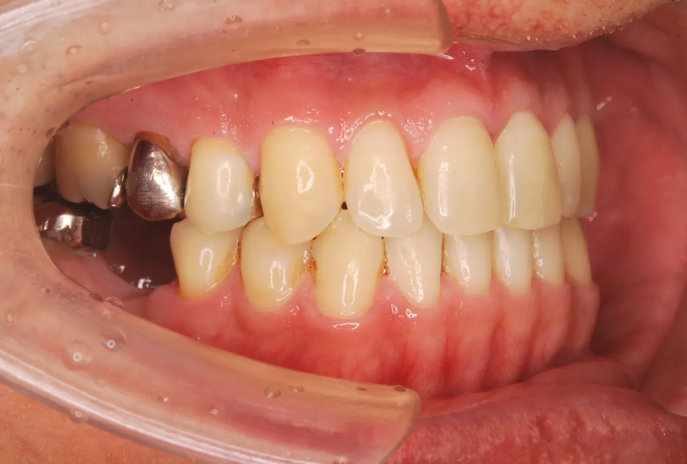
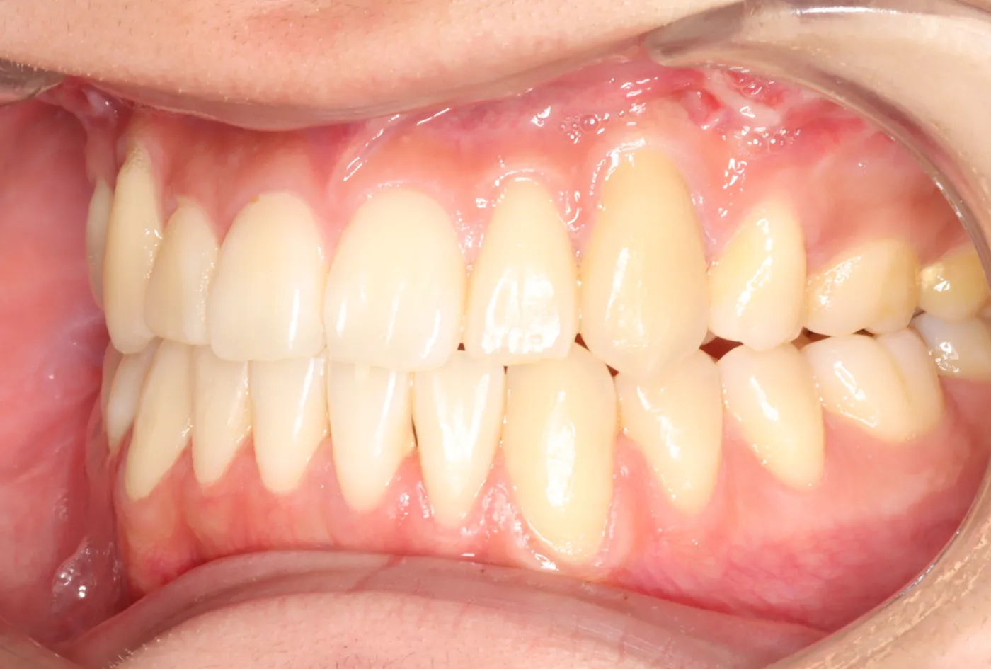
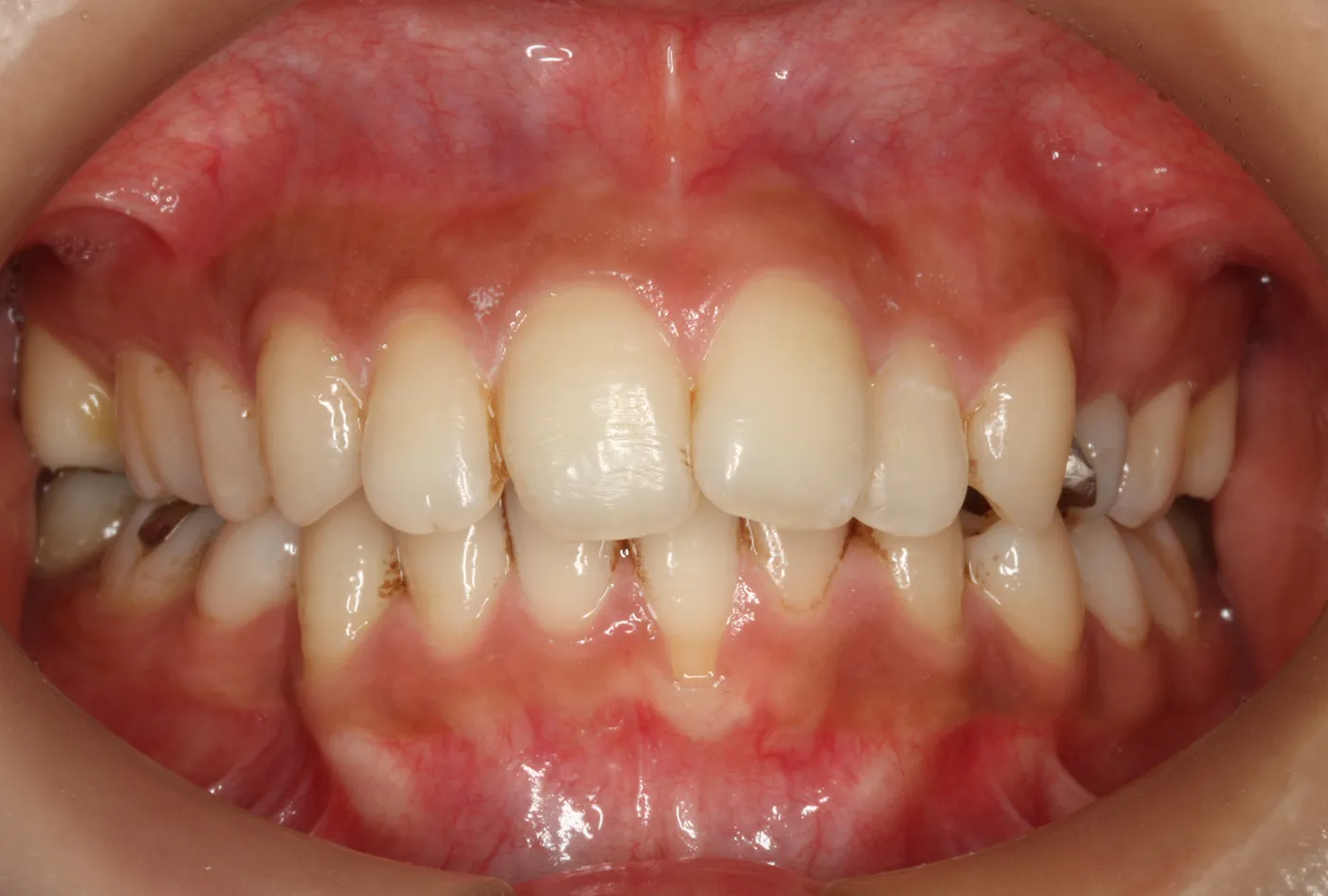
症例03

あごがでている

顔がゆがんでいる
治療前
治療後
治療前
治療後
| 患者さまの症状 | 顎のゆがみと噛み合わせの不具合を主訴に来院されました。見た目のバランスの崩れに加え、食事の際に咀嚼しづらいといった機能的な問題も認められました。 |
|---|---|
| 治療内容 | 顔面非対称に対する外科的矯正治療を行いました。術前矯正を行った後、上下顎の位置を整える外科手術を施行しました。 |
| 治療方法 |
|
| 治療結果 | 顔貌の左右差が改善し、調和の取れたバランスが得られました。咬合も安定し、患者さまからは『食事がしやすくなった』との感想をいただいています。 |
| 治療期間 |
|
| リスク・副作用 |
|
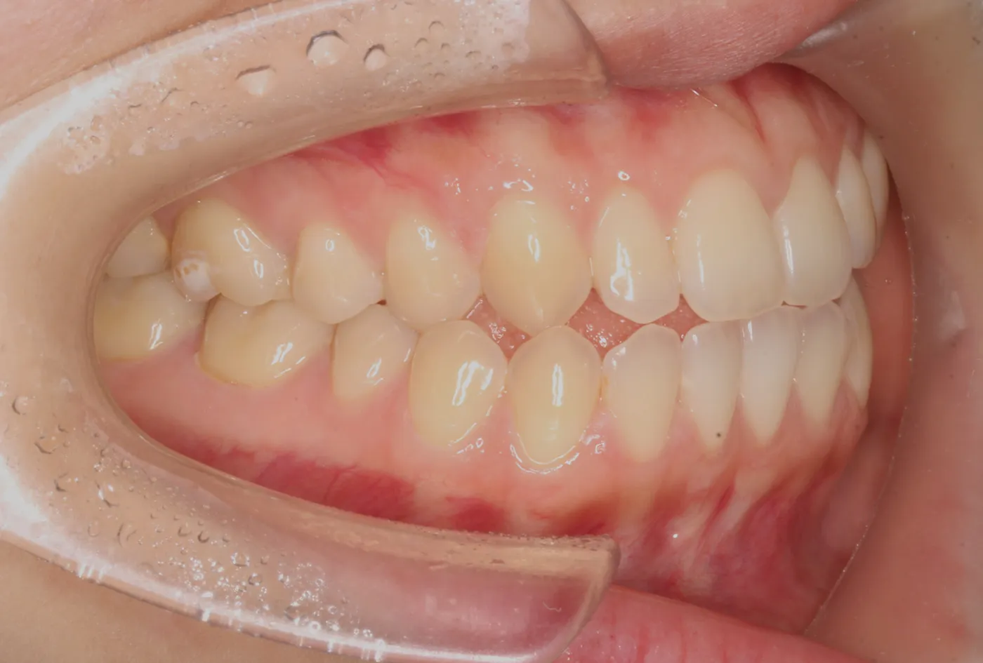
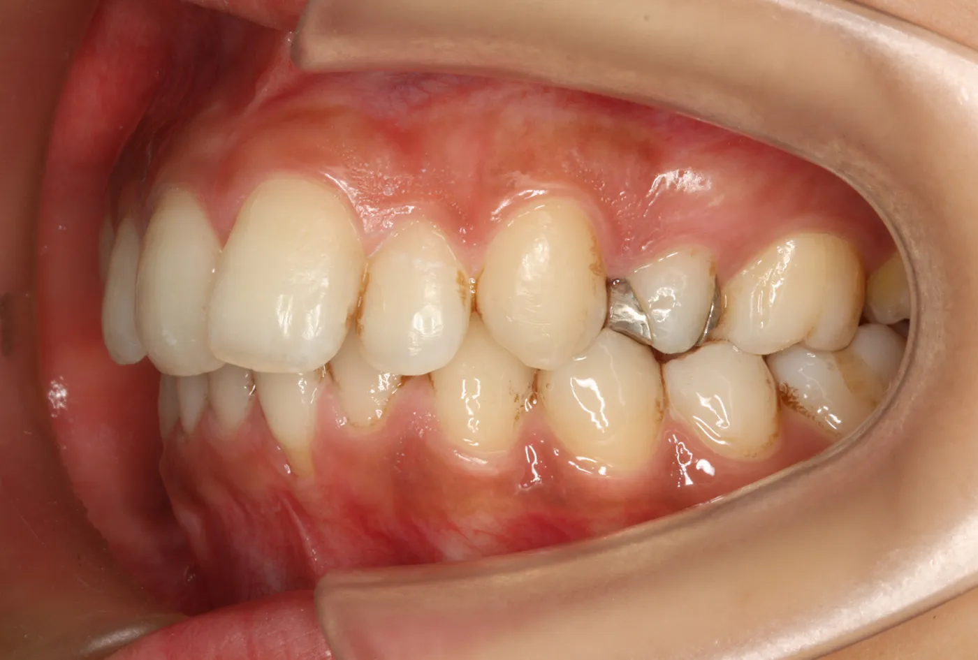
症例04

あごが引っ込んでいる

前歯で噛めない/口ゴボ
治療前
治療後
治療前
治療後
| 年齢・性別 | 25歳 女性 |
|---|---|
| 患者さまの症状 | 上顎が前に出ており、下顎が後方に位置しているため、横顔では「口元が出ている」「顎が引っ込んで見える」といった印象がありました。咬み合わせも不安定で、前歯で噛み切ることが難しい状態でした。また、就寝中にいびきを指摘されることがあり、検査の結果、軽度の睡眠時無呼吸症候群(OSAS) が認められました。 |
| 治療内容 | お顔のバランスを整え、しっかりと噛めるようにするため、上下顎移動術(Le Fort I型骨切り術+下顎枝矢状分割術) を行い、さらに オトガイ形成術 により顎先の位置とフェイスラインを整えました。 下顎の位置を適切に前方へ移動させることで、気道の通りを改善し、睡眠時無呼吸症候群の軽減も期待しました。 |
| 治療方法 |
|
| 治療結果 | 手術後は、前歯でしっかり噛み切ることができるようになり、咬合機能が大きく改善しました。横顔のラインが自然になり、口元の突出感もなくなりました。また、笑顔の印象が柔らかくなり、患者さまからは「噛みやすくなり見た目も自然になった」と喜びのお声をいただいています。 さらに、下顎の前方移動と気道の拡大によって 睡眠時のいびきや息苦しさが改善し、睡眠の質も向上 しました。 |
| 治療期間 |
|
| リスク・副作用 |
|
※症例写真について
- 治療はすべて各患者さま固有の症例に対応したものであり、ほかの方への治療結果を保証するものではありません。
- トリミング(切り抜き)などを除き、画像の修正は行なっていません。
- 掲載の許可をいただいた患者さまのものです。



















































