Plate Removal
他院で入れたプレート除去を
ご検討の方へ
Plate Removal
当院のプレート除去

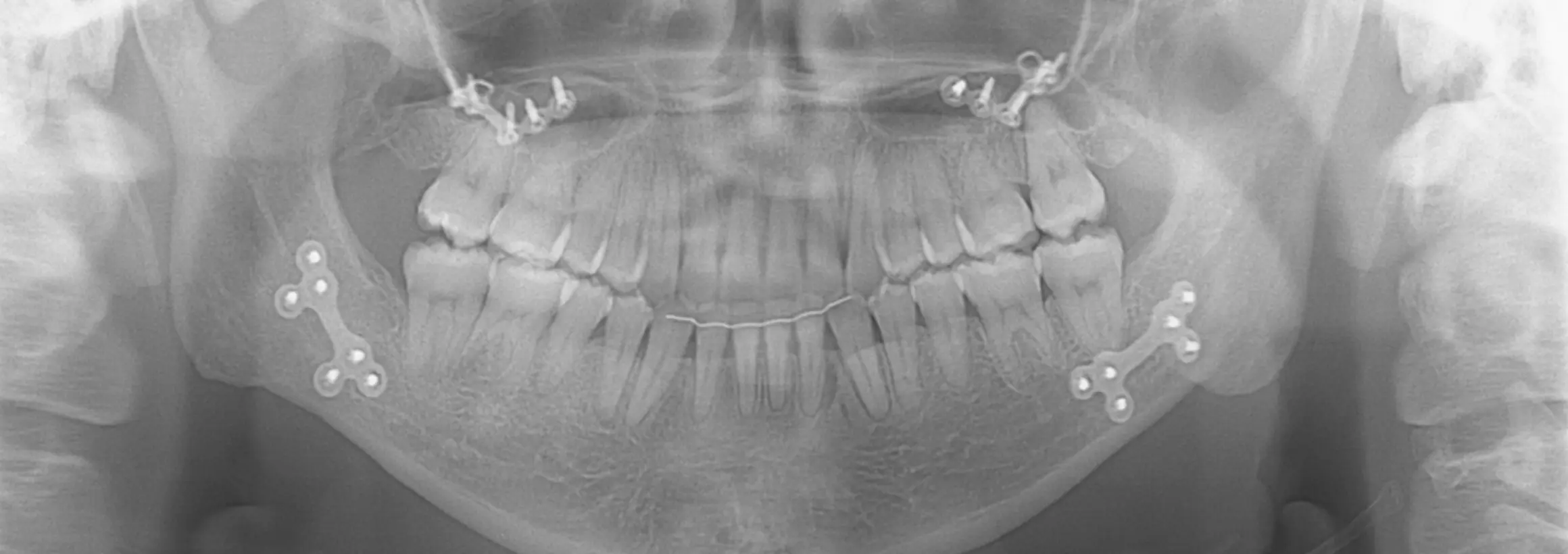
顎矯正手術・輪郭手術・外傷などで入れたプレートやスクリュー(ピン)は、術後の違和感や感染、触れたときの不快感などを理由に除去を希望される方が少なくありません。
例えば、
- 他院や海外で手術を受けたが、日本で診てもらえるか不安
- 違和感や痛みがあるからプレートを外したい
- 除去が可能か知りたい 等
当院では、国内外の他院で入れたプレート除去にも幅広く対応しており、どのようなご相談も受け付けております。
CTで正確に評価し、安全第一で最適な除去プランをご提案しますので、お気軽にご相談ください。
プレート・スクリュー除去について
当院では、ほぼすべての種類・形状のプレートおよびスクリューの除去に対応しています。
CT撮影により、現在残っているプレートの位置・種類・本数・周囲組織との関係を精密に評価し、安全性を最優先した除去計画を立てます。
抜去が難しいケースでも、可能な範囲で全抜去を目指します。

手術方法と麻酔について
・切開線の選択
できる限り前回の切開部位を再利用し、新しい傷跡を増やさないよう配慮します。
・麻酔の選択
手術の範囲や部位に応じて、全身麻酔もしくは静脈麻酔を選択。術中の負担が少ない方法をご提案します。

通院回数と術後経過
術後1〜2週間:縫合部の確認
吸収糸を使用しているため多くは抜糸不要。違和感がある場合は抜糸対応も可能です。
術後1か月:腫れの多くが改善
術後1〜3か月:月1回の定期検診を推奨
術後経過は入っているプレートの数や部位によって多少前後する場合があります。

Refund system
返金制度
- 当院では、プレート除去手術を安全に行うことを最優先としており、事前のCT評価や診察によって、プレートの位置・骨との癒着・神経や血管との距離などを総合的に判断します。
- 万が一、これらの条件から「除去を行うことで重大なリスクが生じる」と医師が判断した場合には、無理に手術を進めることはありません。
- その際、患者様の金銭的負担をできるだけ軽減できるよう、当院では手術費用の返金制度を設けています。
- 安心して相談できる体制を整えておりますので、まずはお気軽にご相談ください。
リスク・副作用
プレート除去にともなう一般的なリスク・副作用
- 顔面の腫脹:術後2週間ほど続くことがありますが、1か月程度で軽減します。
- 縫合部の知覚鈍麻:一時的に感覚が鈍くなることがあります。多くは時間とともに改善します。
- ひきつれ感・縫合部の膨らみ:数か月かけて徐々に落ち着きます。
- 創部感染:まれに切開部に感染が生じる可能性がありますが、洗浄や抗生剤で改善します。
- 神経障害:ごくまれにしびれが長く残ることがあります。回復には半年〜1年以上かかる場合があります。